Укажите Ваше имя и телефон. Выберите удобную дату и время посещения.
Оператор call-центра свяжется с Вами в рабочее время клиники для подтверждения записи и уточнения времени приёма.
Полезные статьи

Гемофтальм (Кровоизлияние в стекловидное тело)
Представляет собой кровоизлияние в стекловидное тело глаза и является серьезным офтальмологическим состоянием.

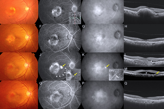
Дегенерация сетчатки глаза
Это прогрессирующее заболевание, которое характеризуется потерей зрения и появлением темных пятен в поле зрения. Это безболезненное, но серьёзное состояние может существенно повлиять на качество жизни пациента.

Сетчатка глаза. Структура, Функции и Заболевания
Сетчатка является одной из самых сложных и важных структур глаза, отвечающей за преобразование световых сигналов в визуальные изображения. Она представляет собой тонкую внутреннюю оболочку, состоящую из различных слоев фоторецепторов и нейронов, и играет ключевую роль в нашем зрительном восприятии.

Рефракционная амблиопия
Характеризуется снижением зрительных функций при отсутствии видимых анатомических изменений в глазах. Данное состояние относится как к детским, так и взрослым заболеваниям и требует внимательной диагностики и лечения.

Гиперметропический астигматизм. Основные аспекты, причины и методы коррекции.
Это рефракционное нарушение, при котором объект, находящийся на расстоянии, воспринимается нечетко из-за неправильной формы роговицы или хрусталика.

Центральная серозная хориоретинопатия
Центральная серозная хориоретинопатия проявляется отслоением нейроэпителия в области макулы. Основной причиной заболевания является дефект в мембране Бруха, что приводит к проникновению жидкости под сетчатку.

Лазерная иридэктомия
Лазерная иридэктомия представляет собой микрохирургическую процедуру, цель которой заключается в создании небольшого отверстия в радужной оболочке глаза.

Ретиношизис
Ретиношизис глаза представляет собой офтальмологическое заболевание, связанное с дегенеративными изменениями в сетчатке, при которых она расщепляется на наружный и внутренний слои, а также может разрываться или отслаиваться.

Лазерная дисцизия вторичной катаракты
Основным методом лечения вторичной катаракты является лазерная дисцизия (рассечение с помощью лазерного излучения).

Корригирующие очки
Корригирующие очки представляют собой медицинское оптическое средство, предназначенное для исправления различных отклонений в зрении. Они позволяют быстро вернуть ясность видения. При изготовлении таких очков учитываются индивидуальные особенности вашего зрения.

Синдром сухого глаза. Что делать, если капли не помогают?
Синдром сухого глаза (ССГ) в буквальном смысле, это когда мало влаги (слезы) на поверхности глаза. Либо ее мало образуется, либо она быстро испаряется, не удерживается в глазу. На первый взгляд кажется, что слеза — это почти как вода, с небольшим отличием по составу. На самом деле всю поверхность глаза выстилает так называемая слезная пленка, которая состоит из 3 слоев.

Прогрессирование миопии во взрослом возрасте. Причины, возможное решение.
Само по себе слово «миопия» (близорукость) знакомо многим и многие даже знают, что это означает плохое зрение в даль. Низкое зрение вдаль объясняется тем, что при истинной близорукости глаз увеличивается в длину и лучи света из-за этого фокусируются перед сетчаткой, а не на ней (в норме).
Заявка на запись
-
(*) Обязательно для заполнения