Центральная серозная хориоретинопатия

Центральная серозная хориоретинопатия проявляется отслоением нейроэпителия в области макулы. Основной причиной заболевания является дефект в мембране Бруха, что приводит к проникновению жидкости под сетчатку. Это состояние вызывает ухудшение зрения, появлением серых пятен перед глазами и искажение прямых линий.

Центральная хориоретинопатия

Диагностикой и лечением центральной серозной хориоретинопатии занимается офтальмолог.

В структуре офтальмологических заболеваний это занимает четвертое место. У мужчин болезнь встречается в шесть раз чаще, чем у женщин. У половины пациентов наблюдаются двусторонние поражения глаз, часто переходящие в хроническую форму.

При одностороннем поражении у молодых людей прогноз благоприятный – отслоение сетчатки практически полностью устраняется, и зрение восстанавливается. В случае двустороннего поражения у взрослых прогноз менее утешительный.

Ключевым фактором развития заболевания является высокий уровень кортизола. Гиперкортизолемия может быть как внутреннего, так и внешнего происхождения, например, при приеме кортикостероидов.

Лечение может быть консервативным или с использованием малоинвазивной лазерной терапии. Лазерное лечение показало наивысшую эффективность.

Виды

Центральная серозная хориоретинопатия делится на два типа:
  • острая;
  • хроническая.
Острая форма чаще встречается у молодых людей и имеет благоприятный прогноз. В течение полугода у 70-90% пациентов происходит самостоятельное закрытие точек фильтрации, обратное всасывание жидкости и прилегание сетчатки. Однако для полного восстановления зрения требуется больше времени.

Хроническая форма чаще наблюдается у пациентов старше 45 лет, характеризуется двусторонними поражениями с обширными дефектами. Атрофия центральных отделов сетчатки часто необратима. Чем раньше начато лечение, тем лучше прогноз.

Симптомы

Центральная серозная хориоретинопатия сопровождается появлением серого или желтого пятна перед глазами и постепенным снижением остроты зрения. Объекты могут казаться меньше, чем они есть на самом деле, а их положение воспринимается неправильно. У некоторых пациентов развивается дальнозоркость, которой ранее не было.

Вовлечение фовеолярной зоны при хронической форме приводит к атрофическим изменениям и необратимому ухудшению зрения.

Причины центральной серозной хориоретинопатии

До сих пор не установлены точные причины развития центральной серозной хориоретинопатии. Однако существуют несколько факторов, которые могут способствовать возникновению этого заболевания. Среди них выделяются инфекции, такие как вирусные (особенно семейство герпесвирусов), бактериальные и токсоплазменные. Аллергические реакции также могут играть роль, особенно если у пациента есть бронхиальная астма или наблюдается сезонность эпизодов в весенние месяцы, такие как март и апрель. Влияние токсичных веществ и повышенная восприимчивость к стрессу, приводящая к увеличению уровня кортизола в крови, также рассматриваются как возможные причины. Эстрогенотерапия и патологическое строение нервной ткани, повышающее чувствительность к повреждающим факторам, также могут быть предрасполагающими факторами.

Отягощенная наследственность и длительно существующая артериальная гипертензия, которая поражает мелкие артерии, также играют определенную роль. В частности, сосудистая оболочка глаза может быть вовлечена в процесс, что приводит к отслойке нейроэпителия. К факторам риска относят повышенное потребление никотина и кофе, переохлаждение и особенности светопреломления в глазу. Важное значение в развитии заболевания придается повышенному уровню стероидных гормонов, особенно кортизола. Поэтому центральную серозную хориоретинопатию часто наблюдают у пациентов с болезнью Кушинга, на фоне стрессов, беременности и гормон-продуцирующих опухолей. У беременных женщин это состояние обычно временное и проходит перед родами или в течение первого месяца после родов.

Хотя причины заболевания остаются не до конца выясненными, механизм его развития становится более понятным. Первоначальная дисфункция сосудистой оболочки приводит к повышению проницаемости капилляров, что вызывает накопление плазмы под сетчаткой и формирование серозной отслойки. Этот процесс чаще всего прогрессирует, что может привести к стойкой утрате части зрительных функций.

Диагностика

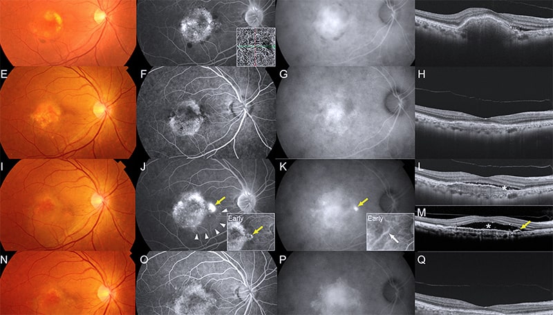
Для точной диагностики центральной серозной хориоретинопатии используются различные методы обследования. Визометрия позволяет определить остроту зрительных функций и оценить степень запущенности патологического процесса. Офтальмоскопия на фоне расширенного зрачка проводится с помощью асферической линзы или линзы Гольдмана, что позволяет увеличить изображение глазного дна и выявить дефекты пигментного эпителия, отслойку нейроэпителия и наличие прозрачной жидкости под сетчаткой, которая со временем может стать мутной.

Оптическая когерентная томография оценивает толщину и состояние структур глаза, включая сетчатку и сосудистую оболочку, а также определяет наличие жидкости под сетчаткой и высоту отслойки эпителия. Этот метод является основным для постановки диагноза и оценки результатов лечения. Флюоресцентная ангиография позволяет оценить состояние сосудов и выявить феномен пропотевания жидкости через патологические дефекты сосудистой оболочки. На основании этого обследования составляется план лечения и прогнозируется его исход.

Консервативное лечение

На сегодняшний день существуют как консервативные методы лечения центральной серозной хориоретинопатии, так и малоинвазивные хирургические подходы. У молодых пациентов иногда применяется выжидательная тактика, поскольку возможны случаи самопроизвольного регресса заболевания.

В случае пациентов старшего возраста (45 лет и старше) требуется более активное вмешательство, поскольку патологические процессы затрагивают сосудистую и сетчатую оболочку глаза.

Одним из самых современных и радикальных методов лечения является микроимпульсное лазерное воздействие на точку фильтрации или фокальная лазерная коагуляция. Это место, где происходит пропотевание жидкости в субретинальное пространство, расположенное под сетчаткой.

Для устранения отека при центральной серозной хориоретинопатии может быть назначено комплексное консервативное лечение. Оно включает в себя препараты, нормализующие проницаемость капилляров, нестероидные противовоспалительные средства, антигистаминные препараты и другие медикаменты.

У молодых пациентов может быть выбрана выжидательная тактика. Наблюдение продолжается в течение 1-2 месяцев, по истечении которых зона фильтрации должна закрыться самостоятельно. Если положительная динамика отсутствует, переходят к лазерному лечению.

хориоретинопатия методы обследования

Лазерное лечение

Лазерное вмешательство рекомендуется при наличии отслойки нейроэпителия с четко определенной точкой фильтрации. Операция проводится амбулаторно, поэтому госпитализация не требуется.

Для повышения эффективности лечения, на этапе предварительной диагностики рекомендуется сдать анализ крови на герпес-вирусные инфекции и определить уровень кортизола. Также проводится исключение возможных противопоказаний, таких как некомпенсированный сахарный диабет и неконтролируемая артериальная гипертензия.

При наличии противопоказаний сначала проводится их коррекция, что позволяет создать благоприятные условия для хирургического вмешательства и повысить его эффективность. Операция при центральной серозной хориоретинопатии заключается в лазерной коагуляции точки фильтрации.

В нашей клинике используется желтый лазер Iridex 577, который обеспечивает щадящее лазерное воздействие на ткани сетчатки.

Во время процедуры температура повышается только в зоне приложения лазерного луча, что позволяет окружающим тканям остывать и сохранять нейросенсорные клетки. Лазеркоагуляция обеспечивает максимально щадящее воздействие на ткани глазного дна, что минимизирует риск осложнений и повышает эффективность лечения.

Профилактика

На данный момент не существует эффективных мер для предотвращения центральной серозной хориоретинопатии. Поскольку кортизол играет значительную роль в механизмах повреждения сетчатки и сосудистой оболочки, рекомендуется минимизировать стрессовые ситуации, избегать длительного использования кортикостероидов, контролировать артериальное давление, отказаться от вредных привычек и стараться спать 7-8 часов в сутки.

Для предотвращения значительного ухудшения зрения важно своевременно обращаться к офтальмологу при первых подозрениях на заболевание.

После лазерной коагуляции

Реабилитация после хирургического лечения

После проведения лазерной коагуляции, офтальмологи рекомендуют в течение двух недель соблюдать определенные правила. Важно использовать глазные капли с противовоспалительным и антисептическим эффектом, избегать посещения сауны или бани, а также не принимать горячие ванны или душ.

Следует ограничить интенсивные физические нагрузки и подъем тяжестей, отказаться от употребления алкогольных и газированных напитков.

Также рекомендуется избегать работы, связанной с наклоном головы вниз, такой как мытье пола вручную или садово-огородные работы.

Заявка на запись
Укажите Ваше имя и телефон. Выберите удобную дату и время посещения.

Оператор call-центра свяжется с Вами в рабочее время клиники для подтверждения записи и уточнения времени приёма.
(*) Обязательно для заполнения